噛み合わせ治療の症例14

矯正治療を含めて咬合挙上した症例
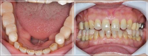
初診時


治療完了時


矯正治療を含めて咬合挙上した症例
年齢・性別 | 60代・女性 |
---|---|
主訴 | 噛み合わせの位置が分からない。 |
治療期間 | 約3年 |
費用 | 総額:205万円+保険費用 |
治療へのリスク | マウスピースや矯正、補綴の期間や方法、本数は症状やケースによって異なります。 |
治療手順
① 咬合基本治療:3ヶ月
マウスピース(2つ作成)にて正しい噛み合わせの位置の確認て、習慣化します。診査診断も行います。
② 咬合口腔内反映:1ヶ月

口腔内反映とは、マウスピースにて得た正しい噛み合わせはマウスピースを装着した状態でのものであり、マウスピースを外すと元の悪い噛み合わせに戻ってしまいます。
マウスピースを外しても正しい位置で噛み合うように仮歯、仮の詰め物にて噛み合わせを調整します。この作業を口腔内反映と呼びます。
③ 矯正:2年
口腔内反映作業によって奥歯では噛めるようになりますが前歯はまだ噛めません。前歯を噛めるように矯正治療を開始します。
補綴(被せ物)治療のさいにご自身の歯の切削量軽減のための矯正です。

④ 最終補綴:2ヶ月
仮の被せ物、詰め物で被せていたものを最終的な補綴物に変更します。(セラミック及び保険適用金属にて治療)

治療結果
噛み合わせが安定し、しっかり食事が出来るようになっています。