被せ物で咬合挙上した症例
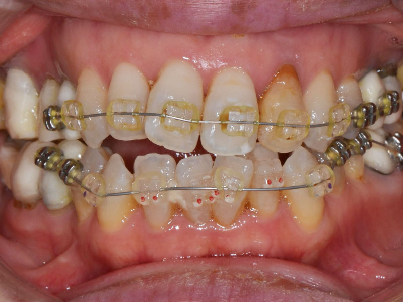
矯正治療を含めて咬合挙上した症例
咬合治療とは
- 口腔崩壊させる力
- 歯列弓の狭窄
- 歯牙、歯列でのはまり込み
- 咬合高径の低下
- 顎関節への負荷
- 上下顎後方への押し込み
噛み合わせ治療の実際は上に示したように、咬合挙上をする(噛み合わせの高さをあげる)ことがほとんどです。咬合挙上とともに咬合治療を行った症例です。
初診時
治療完了時
矯正治療を含めて咬合挙上した症例
| 年齢・性別 | 50代・女性 |
|---|---|
| 主訴 | 顎が痛い、疲れる。 |
| 治療期間 | 約2.5年 |
| 費用 | 総額:140万円+保険費用 |
| 治療へのリスク | マウスピースや矯正、補綴の期間や方法、本数は症状やケースによって |
治療手順
① 咬合基本治療:3ヶ月
マウスピース(2つ作成)にて正しい噛み合わせの位置の確認、習慣化。診査診断。
② 咬合口腔内反映:1ヶ月
口腔内反映とは、マウスピースにて得た正しい噛み合わせはマウスピースを装着した状態でのものであり、マウスピースを外すと元の悪い噛み合わせに戻ってしまいます。
マウスピースを外しても正しい位置で噛み合うように仮歯、仮の詰め物にて噛み合わせを調整します。
この作業を口腔内反映と呼びます。
③ 矯正治療:1.5年
仮の被せ物、ものを最終的な補綴物に変更。(ジルコニアにて治療)



④ 最終補綴:3ヶ月
仮の被せ物、ものを最終的な補綴物に変更。(ジルコニアにて治療)


治療結果
初診時にあった顎の痛みは消失し、噛み合わせも安定しました。




