噛み合わせ治療の症例2

総合的な咬合治療
矯正治療を含めた咬合治療
年齢・性別 | 33歳・男性 |
---|---|
主訴 | 前歯の黒ずみがきになる。奥歯に穴が開いている気がする。 |
診断と治療方針 | 医療面接、レントゲンや写真より、歯並びの問題と将来的に噛み合わせから顎関節症状がでてくる恐れがあると診断できました。レントゲンでは歯軸の乱れが確認できます。そのため、矯正治療を含めた咬合治療をしていくことになりました。 |
初診時



左の写真:咬合平面の乱れ|右の写真: 晩期残存乳歯

左右の写真:すれ違い咬合

初診から約3ヶ月
晩期残存歯を抜歯して矯正治療が開始するまでの見た目の改善のため仮歯をつけました。


初診から約5ヶ月 挙上、スプcont
理想的な噛み合わせの場所をみつけて、数週間使用してもらい問題なければ、矯正開始です。また、矯正中も出来るだけ咬み合わせが安定し、食事が出来るようにします。

矯正開始
矯正開始です。痛みを最小限にするため、細いワイヤーから使用していきます。

矯正開始より 2ヶ月経過
だいぶ内側にあった歯が動いてきました。 噛み合わせも安定しています。

矯正開始より 4ヶ月経過
内側にあった歯が理想的なところに動いてきました。

矯正開始より 6ヶ月経過 上顎前歯挙上副子をセット
上の歯の矯正のみで進めていましたが、下の歯の平面が理想的でないため、下の歯が伸びてきてくれることを期待して取り外しの装置を装着しました。


矯正開始より 10ヶ月経過 固定を外しパワーチェンに変更
理想的なポジションに並びました。歯と歯があいているところがあるのでもう少し矯正で移動させます。

治療完了時
治療終了です。理想的なポジションに歯がならび、噛み合わせも問題なく使用してもらっています。


治療前後のお写真
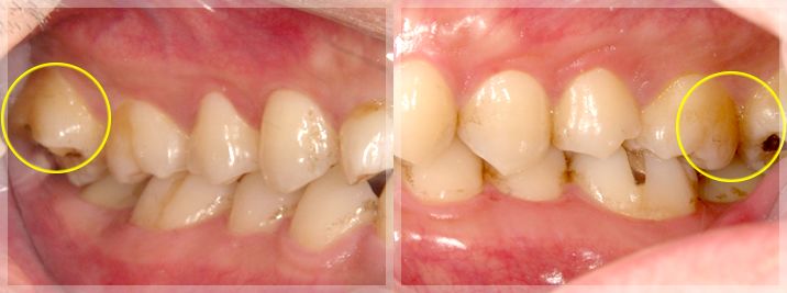
晩期残存乳歯の改善
術前 | 術後 |
---|---|
![]() |
すれ違い咬合の改善
術前 | 術後 |
---|---|
![]() ![]() ![]() |
咬合平面の乱れの改善
術前 | 術後 |
---|---|
![]() |
治療に伴うリスク
治療後のリスクは、場合によっては後戻りが考えられます。