噛み合わせ治療の症例4
総合的な咬合治療
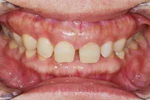
初診時
治療完了時
噛み合わせの高さをあげた咬合治療
| 年齢・性別 | 40代・女性 |
|---|---|
| 主訴 | あごまわりにいたみがある |
| 治療期間 | 約3年 |
| 費用 | 1,450,000円+保険費用 |
治療内容
口腔崩壊させる力
- 歯列弓の狭窄
- 歯牙、歯列でのはまり込み
- 咬合高径の低下
- 顎関節への負荷
- 上下顎後方への押し込み
噛み合わせ治療の実際はこの図にあるように咬合挙上(噛み合わせの高さをあげる)ことがほとんどです。咬合挙上とともに咬合治療を行った症例です。
初診時
治療手順
①咬合基本治療:3ヶ月
マウスピース(2つ作成)にて正しい噛み合わせの位置の確認、習慣化。診査診断。
![]() |
![]() |
| ① | ② |
![]() |
![]() |
| ③ | ④ |
![]() |
|
| ⑤ |
②咬合口腔内反映:1ヶ月
口腔内反映とは、マウスピースにて得た正しい噛み合わせはマウスピースを装着した状態でのものであり、マウスピースを外すと元の悪い噛み合わせに戻ってしまいます。
マウスピースを外しても正しい位置で噛み合うように仮歯、仮の詰め物にて噛み合わせを調整します。
この作業を口腔内反映と呼びます。
③矯正:2年
口腔内反映作業によって奥歯では噛めるようになりますが前歯はまだ噛めません。前歯を噛めるように矯正治療を開始。
補綴(被せ物)治療のさいにご自身の歯の切削量軽減のための矯正。
④最終補綴 2ヶ月
仮の被せ物、詰め物で被せていたものを最終的な補綴物に変更。(セラミックにて治療)
治療完了時
初診時にあった顎の痛みは、消失し頭痛、肩こり等もなくなったそうです。
治療に伴うリスク
治療後のリスクは、場合によっては後戻りが考えられます。









