矯正歯科の症例
矯正歯科の症例集
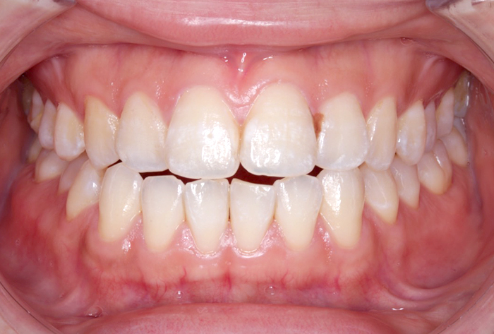
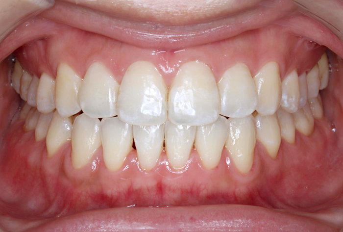
症例.1 モダン矯正
| 治療前 | 治療後 |
|---|---|
![]() |
![]() |
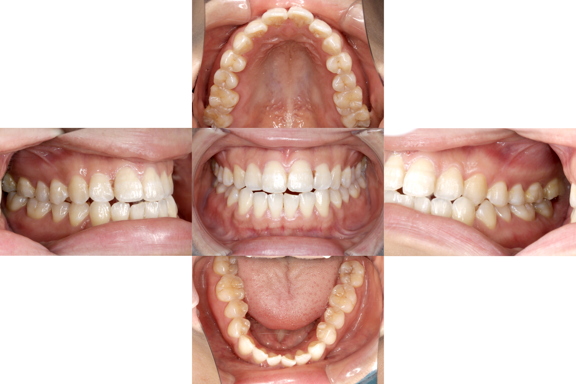
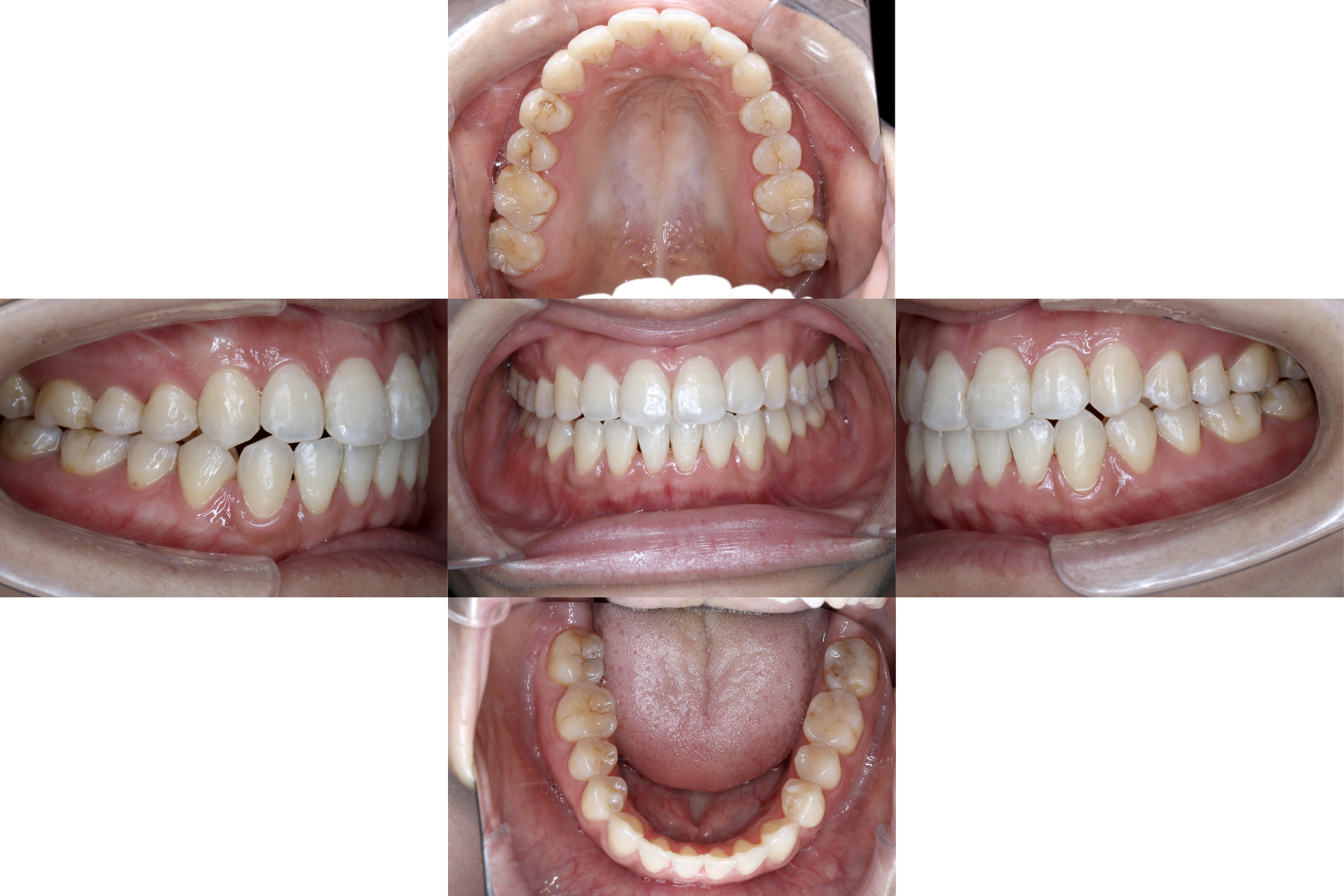
症例.2 モダン矯正 (治療期間:約8ヶ月)
| 治療前 | 治療後 |
|---|---|
![]() |
![]() |
症例.3 モダン矯正 (治療期間:約6ヶ月)
| 治療前 | 治療後 |
|---|---|
![]() |
![]() |
症例.4 部分矯正
| 治療前 | 治療後 |
|---|---|
![]() |
![]() |
症例.5 健康な歯を引っ張り出す
![]() |
![]() |
| 虫歯で歯が少ない状態です。 歯と歯茎の境目が不明瞭です。 |
ゴムの力を使って歯を歯茎より上に引っ張ります。 |
![]() |
![]() |
| 健康な歯が歯茎から顔を出しました。 | 精度の高い被せ物が入れられました。 |
症例.6 傾いた歯をまっすぐ起こす
![]() |
![]() |
|
| 赤矢印の方向に咬む力が加わると 白矢印部分の骨が吸収していきます。 |
装置を入れました。 比較的小さな装置です。 |
|
![]() |
![]() |
|
| 矯正により正しい方向に力を加えられるようになりました。 | ||
![]() |
![]() |
|
| 虫歯が大きくこのままではうまく被せられません。 | 矯正により歯を引っ張りあげます。 | |
![]() |
![]() |
|
| 歯の周りに丈夫で健康的な歯茎が認められます。 | 綺麗に被さりました。 | |
症例.7 アソアライナー (治療期間:約1年)
症例.8 インプラントと矯正治療
を用いた咬合再構成
| 治療前 | 治療後 |
|---|---|
![]() |
![]() |
| 治療前 | 治療後 |
|---|---|
![]() |
![]() |
| 年齢・性別 | 40代男性 |
|---|---|
| 主訴 | 歯が欠けてしまった |
| 治療期間 | 1.5年 |
| 治療内容 | 自費診療 補綴(詰め物、被せ物)9本:約100万円 インプラント2本:約100万円 矯正治療:約35万円 保険診療 咬合基本治療 |
| 費用 | 235万円 |
症例.9 矯正治療と補綴修正を用い
咬合治療を行った症例
40代男性
治療内容:咬合治療(矯正・補綴修正)
| 治療前 | 治療後 |
|---|---|
![]() |
![]() |
| 治療前 | 治療後 |
|---|---|
![]() |
![]() |
症例.10 矯正治療を用いた咬合治療
| 治療前 | 治療後 |
|---|---|
![]() |
![]() |
| 治療前 | 治療後 |
|---|---|
![]() |
![]() |
| 年齢・性別 | 30代女性 |
|---|---|
| 主訴 | 下顎が右に歪んでいる 噛み合わせがあっていない 咬筋が疲れている(顎関節: 左側にクリック音、開口時にクリック音) |
| 治療内容 | 咬合治療(矯正治療) |
治療に伴うリスク
矯正装置除去後に後戻りすることがあります。保定装置を決められた期間確実に装着することなど、定期的検診が必要です。
あなたの歯を守る、
的確で誠実な診断と治療
赤坂の歯医者・歯科「赤坂デンタルオフィス」は東京都港区赤坂の総合歯科医院です。虫歯治療や予防歯科などの一般歯科から、各専門医による高度で精密なインプラント・噛み合わせ治療を兼ねた矯正治療などの専門歯科治療まで幅広く対応しています。
- 赤坂駅より徒歩30秒
- 各種保険診療対応
- 土日診療
- 充実の歯科医療設備




































