歯周外科の症例
歯周外科の症例集
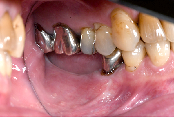
症例1. 根面被覆
![]() |
![]() |
| 歯茎が下がってしまっています。 | 歯茎を移植して覆った状態です。 汚れが付きにくくなりました。 |
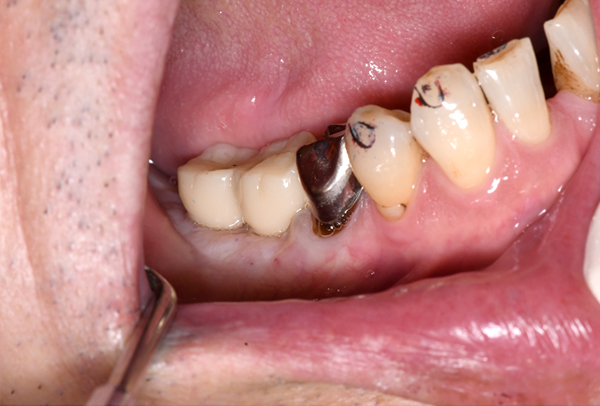
症例2. GTR
![]() |
![]() |
| 歯茎を移植して覆った状態です。 汚れが付きにくくなりました。 |
メンブレンという膜をおいて 骨が再生しやすい環境にします |
![]() |
![]() |
| レントゲン写真上で白っぽくなってきました。 骨が再生されはじめています。 |
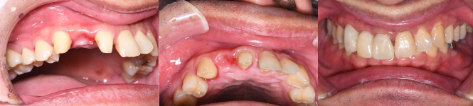
症例3. 歯肉切除
![]() |
![]() |
![]() |
|
| 歯茎が部分的に分厚い状態です。 | 歯茎の位置を下げました。 | これで精度が高くかつ維持力の高い被せ物ができます。 |
症例4. 歯冠長延長術
![]() |
![]() |
| 歯平面が傾いてしまっています。 | 歯茎を下げる手術を行いました。 |
![]() |
![]() |
| 歯茎が綺麗に治りました。 | 平面も整って綺麗に被せ物が入りました。 |
症例5. エムドゲイン
![]() |
![]() |
![]() |
|
| 骨が無くなってしまっています。 | 再生を促す薬です。 | 薬を塗布した後すぐ縫合。 |
![]() |
![]() |
![]() |
![]() |
| 術前 | 2ヵ月後 | 6ヶ月後 | 8ヵ月後 |
症例6. 再生療法-EPPT-
![]() |
![]() |
| 右上2番 | 遠心の垂直性骨欠損 |
![]() |
![]() |
| EPPT(Entire Papilla Preservation Technique) 歯冠乳頭を保存し、 治癒と審美的な予後を 期待できる術式 |
人工骨の填入 |
![]() |
|
| 縫合 |
![]() |
![]() |
| 術後 | ほとんど歯冠乳頭が 下がることなく、 欠損部位に 骨様組織が確認できる |
術前後の比較
| 術前 | 術後 |
![]() |
![]() |
症例7. 結合組織移植
| 術前 | 術後 |
|---|---|
![]() |
![]() |
抜歯後、骨吸収が顕著にみられ、審美障害を起こしている。
歯肉をパウチ状に剥離
上顎口蓋側から移植片を採取
パウチ状にした部分に入れ込む
軟組織の増大
審美性の改善
↓
仮歯
治療完了
症例8. 結合組織移植術 根面被覆
| 術前 | 術後 |
|---|---|
![]() |
![]() |
|
歯肉退縮が見られ、 知覚過敏を発症。 |
歯肉の厚みの改善と、退縮部の被覆を確認。 歯肉は時間をかけて なじんでいく。 |
剥離後、エナメル突起を除去し、根面を滑沢にする。
口蓋から結合組織片を採取。
結合組織を固定して懸垂縫合。
症例9. 遊離歯肉移植 FGG
| 術前 | 術後 |
|---|---|
![]() |
![]() |
| インプラント 埋入後の歯肉 角化歯肉の減少が認められる。 |
仮歯が入った状態 角化歯肉がインプラント周囲に出来ていることがわかる。 |
![]() |
![]() |
![]() |
二次オペ時に遊離歯肉移植を行いました。
治療に伴うリスク
再生療法における術後のリスクは、移植した自家骨または、人工骨が歯肉の縫合の裂開により感染することがあります。










































