『上の前歯をきれいにしたい』という希望で来院された患者様です。
被せ物で治すことに同意を頂き、歯の形を整え、仮歯にさせていただきました。
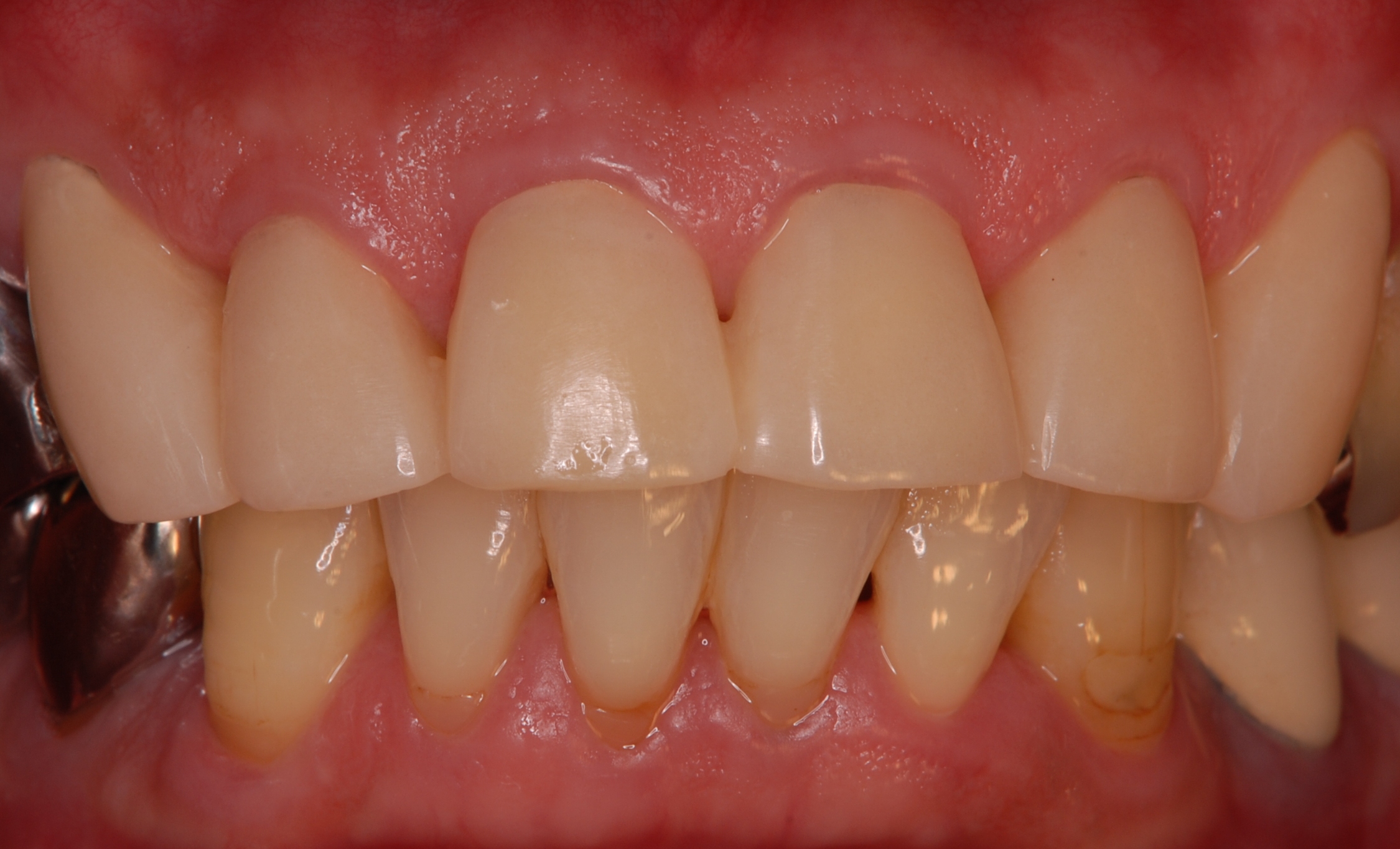
型取りした際の状態です。6本とも精密な型が取れています。
以上の作業により模型ができます。
この白い材料はジルコニアというもので,金属と同じぐらいの強度を持った白い歯科材料です。
金属ではない、白くて強度のある安定した材料です。
ジルコニアの適合状態を確認します。
ジルコニアだけでは色調をあわせることができないので、ジルコニアの上にセラミックを盛り足して形態、色調の確認を行います。
セラミックの艶を出して装着した状態です。
患者様も満足して頂けました。









