①下の歯列が上の歯列に対し、右にずれてしまっているので、スプリントを使用し、
噛んだ時の位置を理想の位置へ戻しながら矯正をし、歯並びも改善していく。
②咬合高径(上下が噛み合った時の上顎と下顎の位置)が低いので
奥歯の被せものの高さを、高めに作り咬合高径を高くしていく。
人は下の顎を上下に動かすだけでなく、無意識に左右上下にも動かしているため、
歯の生え方がずれてしまっていたり誤った被せものをしていたりすると
顎の動きが抑制されてしまい、そのため顎の関節に痛みが出てしまったり、
顎の周りの筋の硬直が起こってしまったりします。
なので、まずスプリントという装置を使いそのスプリントを使用している時のみ
下の顎が左右前後自由に動かせるようにし、筋の硬直を取り除き関節の痛みの
症状などもあればその痛みも緩和させていきます。
しかし、その症状が解消されるのはスプリントを使用している時だけなので
ある程度顎がスムーズに動いてくるようになった後はスプリントを外したときも
その環境を作り出すため不適合な被せものも正しい被せものにやりかえ、
矯正で歯の位置も治していきます。
人の咬み合わせの位置というのは奥歯の位置で決まります。
奥歯がなかったり被せていた被せものの咬み合わせが悪かったりすると
咬む位置が低くなり奥歯が低くなってしまうと、咬んだ時上下の前歯が強く接触してしまい、
上の前歯が下の前歯に押し出されるようにぶつかり
上の前歯が前に突き出されてしまうようになってしまうのです。
ただし、いきなり高さをつけた被せ物をしてしまうとかなりの違和感が出るため
仮歯を使いながら少しづつ材料を盛りながら高さを出し
その高さに慣れてから本物の被せものを被せていきます。
右上の一番奥の歯の被せものを外すと土台の部分の高さが低く、
この状態では再び被せていっても維持力が劣るため外科的処置で周りの歯肉を落とし
土台の高さを出すという「歯冠延長術」を行いました。
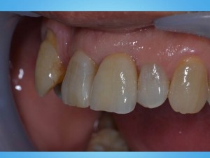
歯列・咬合高径改善、補綴物も審美的に白い被せ物を入れ、
審美・機能的に改善することができました。
日付: 2012年12月14日 カテゴリ:審美歯科, 歯周外科, 症例集, 矯正歯科























































