![]()
赤坂の歯医者【赤坂デンタルオフィス】土日診療/平日夜19時半
日付: 2012年3月21日 カテゴリ:審美歯科, 症例集

![]()
赤坂の歯医者【赤坂デンタルオフィス】土日診療/平日夜19時半
日付: 2012年3月21日 カテゴリ:審美歯科, 症例集
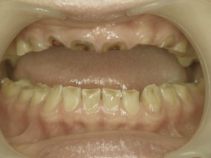
こちらの前歯の被せ物は歯茎が退宿してしまったことにより適合が悪くなってしまい
また、歯と歯の間にすき間もできてしまって審美的にもすきっ歯にみえます。
このような状態のままにしておくと審美面だけの問題だけではなく、歯茎と被せ物の隙間に汚れ(プラーク)が残りやすくなるため虫歯や歯周病の原因にもなってしまいます。
いきなり新しい被せ物を入れるのではなく最初は仮歯を入れて様子をみていきます。
また歯と歯の間のすき間をなくすために
仮歯で調整していきながら隙間をなくしていきます。
こちらの写真は仮歯の状態です。
歯と歯の間を調整したことにより隙間がなくなりました。
まだ最終的な被せ物は入っていないため完成したお写真をお見せできないのですが、
この仮歯の段階でもかなり改善されました。
歯茎のラインと仮歯の際に隙間はなく、歯と歯の間の隙間もなくなりました。
あとは歯茎に炎症が残っていないか確認し、問題なければ型取りをし、被せて完成になります
このように被せ物の処置が終わっても、その後の管理が非常に大事になってきます。
ブラッシングがきちんとできていないと歯茎の際に汚れがたまり被せ物の中から
虫歯ができてしまったりもします。
痛みは出ていなくても年月が経っている被せ物などありましたら
一度検診で確認してみませんか?
赤坂の歯医者【赤坂デンタルオフィス】土日診療/平日夜19時半
日付: 2012年1月29日 カテゴリ:審美歯科, 症例集
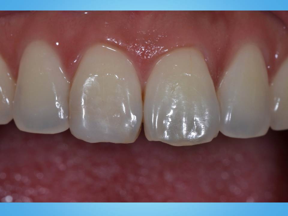
35歳女性。審美障害を主訴に来院しました。
↑初診時の写真です。
左側の歯の先端に人工の詰め物が認められ、変色と形態不良が著しい状態でとても気にされていました。
審美修復する方法が何種類かありますが、今回は部分的な詰め物で治療することとしました。
↑まず型を取らせていただき模型を作製します。
模型上で理想的な形態をワックスで作ります。
↑それをシリコン(硬いゴム)で印記します。
外形を作る作業で使用します。
↑仕上がった『枠』です。
↑二回目の来院です。
古い材質を除去し、シリコンを指摘しました。
この『枠』に直接材料を盛って理想的な形態を作製します。
↑外形が仕上がったところです。
次に中身を盛って歯の色を再現していきます。
↑詰めた直後の状態です。
研磨を行い、咬み合わせもチェックしこの日は治療を終了します。
↑一週間後の状態です。
再研磨しました。
さらに艶が出てきました。
使い心地も問題なさそうです。メンテナンス頑張りましょう。
赤坂の歯医者【赤坂デンタルオフィス】土日診療/平日夜19時半
日付: 2011年12月19日 カテゴリ:審美歯科, 症例集
患者さんは、前歯がかけてしまったことと、すきっ歯が気になっていました。

左上(写真では右上)の前歯は神経の無い歯で、変色してしまっています。
さらに虫歯を除去したところ大部分の歯を喪失してしまったため、かぶせ物での治療となりました。

神経の残っている歯に対しては、なるべく歯を削らないようにするために、直接プラスチックを築盛していく方法を選択しました。

患者さんの気にしていた、歯の隙き間や欠けていた部分を改善することができました。
今回使用したかぶせ物はメタルボンドといって金属にセトモノを焼き付けるタイプです。
セトモノを使用しているために変色の心配はありませんが、金属の使用により透明感が少し劣ります。
患者さんの要望によっては光透過性のある、より審美性の高いかぶせ物もございますのでご興味のある方はご相談ください。
赤坂の歯医者【赤坂デンタルオフィス】土日診療/平日夜19時半
日付: 2011年11月17日 カテゴリ:審美歯科, 症例集
『上の前歯をきれいにしたい』という希望で来院された患者様です。
被せ物で治すことに同意を頂き、歯の形を整え、仮歯にさせていただきました。
型取りした際の状態です。6本とも精密な型が取れています。
以上の作業により模型ができます。
この白い材料はジルコニアというもので,金属と同じぐらいの強度を持った白い歯科材料です。
金属ではない、白くて強度のある安定した材料です。
ジルコニアの適合状態を確認します。
ジルコニアだけでは色調をあわせることができないので、ジルコニアの上にセラミックを盛り足して形態、色調の確認を行います。
セラミックの艶を出して装着した状態です。
患者様も満足して頂けました。
赤坂の歯医者【赤坂デンタルオフィス】土日診療/平日夜19時半
日付: 2011年7月27日 カテゴリ:審美歯科, 症例集
虫歯などによって噛み合わせが失われています。
また、審美的な問題も抱えています。
虫歯や根の治療を行いながら最終的なかぶせ物の形態を考慮して仮歯を制作しました。
歯の形や大きさ、噛み合わせのバランスを確認します。
最終的なかぶせ物を装着しました。
咬む位置が安定し、スムーズにお食事ができています。
審美的にも改善しました。
残念ながら弱っていた歯が割れてしまい、抜歯となりました。そこで他の歯を削らない方法であるインプラント治療を選択しました。
炎症により頬側の骨がなくなっていたため、人工の骨を詰め込み骨を作りました。
術後はインプラントに負担をかけないようにしながらも、審美的に問題がないような仮歯を製作しました。
埋入したインプラントに土台をたてて、新しい歯を装着した状態です。
頬側に新しい骨が作られたことにより、歯肉の高さや厚みも理想的な状態となりました。
最終的な状態です。
インプラントを埋入した歯がわからないくらい自然な仕上がりです。
また、健康な歯肉が保たれています。
赤坂の歯医者【赤坂デンタルオフィス】土日診療/平日夜19時半
日付: 2011年7月11日 カテゴリ:審美歯科, 症例集
赤坂の歯医者・歯科「赤坂デンタルオフィス」は東京都港区赤坂の総合歯科医院です。虫歯治療や予防歯科などの一般歯科から、各専門医による高度で精密なインプラント・噛み合わせ治療を兼ねた矯正治療などの専門歯科治療まで幅広く対応しています。