今回はブラッシング不良による歯茎の腫れで来院され、ブラッシング指導により歯茎の炎症が良くなった一例をご紹介します。
歯と歯茎の境目周辺が真っ赤に腫れてしまっています。
そのほかも下の前歯の歯と歯の間の歯茎が膨らんでるように
腫れてしまっています。
原因はブラッシング不足が続き結果汚れが溜まってしまっているのと
それを放置したことにより汚れが固くなり歯石化してしまって付着してしまっていいることです。
汚れの付きの状態を染め出し液を使って確認してみると・・・
歯茎の際の辺りなど濃く染まってしまっているのがわかります。
医院でブラッシング指導を受けその後も実践していただきました。
後日また確認するととてもきれいに磨けていました。
自身できちんとブラッシングができていることを確認できたので
同時に歯石取りも行っていきました。
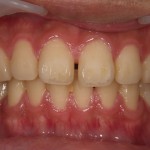
最初の頃に比べると歯茎の腫脹・発赤感も消え、とても良い口腔内環境と
なりました。
歯茎は歯医者ではなく自分の努力次第でいくらでも治すことができます。
ブラッシングに自信のない方、歯茎の腫れで悩んでいる方
お気軽にご相談ください。






電話する
初診専用