歯を失った部分にインプラントを行うことで、しっかりとした上下の噛み合わせをつくり、さらに部分矯正や適切な被せ物をいれることで、噛み合わせのズレを改善した症例

左下の歯(向かって右下)を失ったことで、咬む相手のなくなった左上の歯が伸びてきてしまったことを気にされて来院された患者さんです。
このように、部分的に歯が伸びてくることによって、うまく食べ物を咀嚼することができなくなったり、また、噛み合わせに違和感を感じる部分を避けようとして、本来とは異なる位置で咬む癖がついてしまうこともあります。これにより、顎の痛みや違和感が出ることもあるので注意しなければなりません。

少数の歯を失った場合には一般的にブリッジという方法で歯を補います。
比較的容易に処置を終えることができますが、失った部分にかかる噛む力を、周りの歯が直接的に負担しなければならないため、負担過重となってしまう可能性があります。
特に左下(向かって右側)に装着されているような片側にしか支えのないブリッジではその負担がさらに大きくなることが知られています。

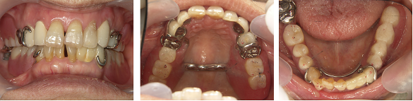
かぶせ物を入れる治療を行う前にマウスピース使用していただき、まずはマウスピース上で正しいかみ合わせの位置を探していきます。
何度か調整を行いながら噛み合わせの安定が得られ、違和感がないことを確認したら、その噛み合わせの位置を目標にして、実際の歯の処置を行います。

古い被せ物を仮歯に置き換えながら、正しい位置でのかみ合わせを作っていきます。
伸びてしまった歯は、虫歯の治療をしながら周りの歯とおおよそ同じ高さになるように調整を行いました。

今回、歯の欠損部位にはインプラント治療を行っています。これは、顎の骨の中に人工のネジのようなものを埋めていく方法で、周りの歯に負担をかけない唯一の方法として知られています。外科処置を伴う方法ではありますが、しっかりと部分麻酔をすれば痛みを感じることなく処置を進めることが出来ます。
これにより、一本の歯にかかる負担を軽減することができたため、長期的に安定したかみ合わせを作ることが出来ました。

さらなる咬み合わせの改善を図るため、咬み合わせの高さをわずかに拳上し、さらに部分的な矯正治療を行いました。

矯正治療を行い、上下の前歯の噛み合わせを改善するとともに、奥歯の仮歯の調整を行い、最終的なかみ合わせを想定した微調整を行いました。

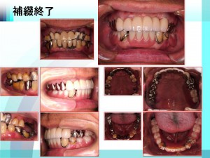
最終的な被せ物を入れた状態です。
伸びてしまっていた歯の位置関係を改善することで、スムーズな咀嚼を可能とし、また、ブリッジ部分をインプラントに変えたことで長期的にも安定したかみ合わせを作ることが出来ました。
また、かぶせ物に白い材料を選ぶことで、審美的にも良好な結果を得ることが出来ました。
赤坂の歯医者【赤坂デンタルオフィス】土日診療/平日夜19時半
日付: 2013年8月5日 カテゴリ:インプラント, かみ合わせ, 症例集, 矯正歯科