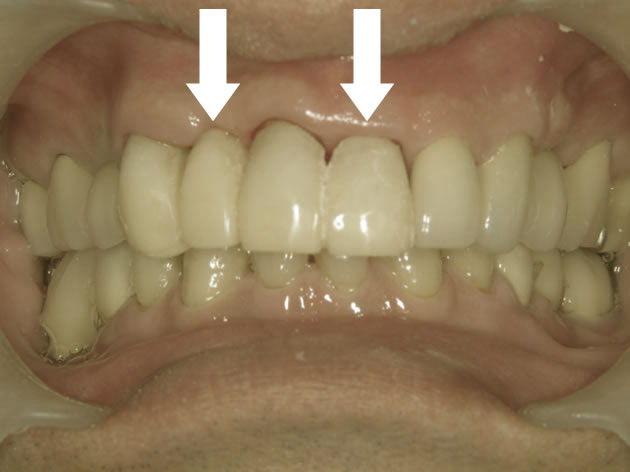
かぶせ物と歯肉の間にすき間が見られます。
これは審美的な問題以外にも汚れがつきやすくなることで虫歯や歯周病を進行させる原因になります。
また、咬み合わせのバランスがくずれています。
右下奥歯の骨が溶けてしまっているため、周りの歯に影響を与える前に抜歯してインプラントを埋入しました。
歯と歯をつなぐブリッジは、残っている歯に大きな負担をかけます。
それに対してインプラントは、周りの歯に負担をかけない唯一の治療方法です。
埋入したインプラントが骨につくまでの数ヶ月間は仮歯を装着します。
この間に噛み合わせのバランスを整え、安定してお食事ができるかを確認します。
左右の前歯の歯肉の高さを可及的にそろえる処置を行いました。
さらに、右上のかぶせ物の自然感をだすために歯肉を厚くする処置も行いました。
最終的なかぶせ物を装着した状態です。
審美的にも機能的にもバランスがとれています。
かぶせ物と歯肉のすき間がなくなったためメンテナンスしやすい状態になっています。
赤坂の歯医者【赤坂デンタルオフィス】土日診療/平日夜19時半
日付: 2011年7月11日 カテゴリ:インプラント, 症例集






































電話する
初診専用